Contatti per prenotazioni

Malattie della retina

malattie della retina, pucker maculare

1 Laser giallo micropulsato per epiteliopatia gravitazionale

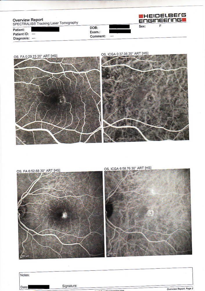
Paziente di 38 anni viene per mancato rinnovo patente causa ipovisus quadro clinico visus occhio destro 3/10 visus occhio sinistro 3-4/10 non migliorabili con lenti fundus: epiteliopatia retinica maculare con sospetto distacco sieroso

Effettuati OCT e Fluorangiografia (vedi allegati) che confermano la diagnosi

Effettuato laser giallo micropulsato maculare.

Il quadro clinico nei mesi successivi è migliorato parallelamente al visus e a distanza di 6 mesi dall'intervento il visus è 8/10 nell'occhio destro e 9/10 nell'occhio sinistro.

 

Considerazioni Dr. Avoni

Il laser giallo micropulsato ci consente di trattare numerose situazioni cliniche nelle quali si deve ricercare il riassorbimento di liquidi dalla regione centrale della retina come ad esempio nelle maculopatie edematose diabetiche, nell'edema maculare post cataratta nelle epiteliopatie, corioretiniti sierose centrali. Il grande vantaggio è la scarsa invasività del trattamento associato all'efficacia. I risultati ottenuti confermati dalla letteratura sono senz'altro incoraggianti.

2 Corioretinite sierosa centrale

Paziente di 34 anni, riferiva di vedere una macchia nel campo visivo dell’occhio destro. Il visus era 10/10 e l’esame del fundus mostrava una raccolta sierosa retinica. Effettauati OCT Fluorangiografia e campo visivo è stata posta diagnosi di corioretinite sierosa centrale, regredita poi spontaneamente.

3 Chirurgia episclerale (piombaggio) per distacco di retina

Paziente di 52 anni riferisce riduzione del campo visivo periferico nasale, posta diagnosi di distacco di retina temporale viene effettuata una chirurgia episclerale (piombaggio) il decorso post operatorio è stato regolare e la retina è aderente.

4 Occlusione venosa retinica

Paziente di 74 anni visto per pregressa occlusione venosa retinica con maculopatia edematosa già trattato con anti VEGF intravitreale. Il quadro clinico era il seguente: visus occhio destro 2/10 sf +2 fundus: maculopatia edematosa OCT e FAG: maculopatia edematosa (vedi foto).

Effettuato Ozurdex intravitreale, nel febbraio 2012 l’edema maculare è regredito completamente (vedi OCT), il visus si è portato dopo circa un mese a 6-7/10 sf +1 e attualmente novembre 2012 è 10/10 stentati (4 lettere su 5) sf + 1.25.

5 Foro maculare

Paziente di 63 anni viene per visita oculistica riferendo pregresso intervento per foro maculare nell'occhio destro.

L'obiettività oculistica è la seguente:

  • vod (visus occhio destro): 3/10 non migliorabili con lenti;
  • vos (visus occhio sinistro): 10/10 naturali;
  • too: 16 mmhg;
  • boo: nella norma;
  • fod: (vedi oct) foro maculare già sottoposto a vitrectomia e peeling maculare;
  • fos: (vedi oct) iniziale foro maculare lamellare.

Programmati controlli con visite oculistiche e OCT.

6 Distacco retinico in pseudofachia in distrofia endoteliale di Fuchs

Paziente di 48 anni con megalocornea, distrofia endoteliale di Fuchs (vedi conta cellule endoteliali), astigmatismo miopico elevato, cataratta avanzata e facodonesi od>os. Pregresso trauma od.

Operato di cataratta os nel Novembre 2013 con soddisfacente recupero visivo da 1/10 con correzione si è ottenuto un visus di 8-9/10 con correzione, la cornea non si è scompensata e ha mantenuto la sua trasparenza dopo alcuni giorni di edema corneale, il decorso post cataratta è stato regolare.

Fine Giugno 2014 riferito calo visivo os insorto alcuni giorni dopo intensa attività sportiva, diagnosticato un distacco di retina del settore inferiore (vedi ecografia oculare) con coinvolgimento maculare (vedi OCT), con visus di 1/10. Operato il giorno successivo alla diagnosi con il seguente intervento di chirurgia episclerale: cerchiaggio sclerale + evacuativa + iniezione di gas in cavità vitreale. La retina è tornata in piano e a distanza di un mese circa il visus è tornato a 7-8/10 con correzione. E' stato effettuato un laser cerchiaggio post operatorio in via di completamento.

L'iniziale deformazione delle immagini riferita nell'immediato post operatorio si è progressivamente ridotta e il paziente è tornato alle normali attività lavorative. La chirurgia episclerale in caso di distacco di retina, qualora vi siano le indicazioni può portare ad un riaccollamento retinico con un unico intervento e se le condizioni retiniche lo consentono può determinare un recupero visivo più o meno completo.

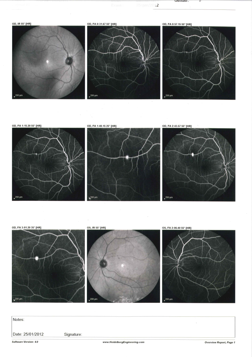
7 Membrana neovascolare sottoretinica (maculopatia) maculare in miope

Paziente di 46 anni riferisce calo visivo nell'occhio di sinistra da circa 2 settimane, l'obiettività oculistica è la seguente:

vod: 10/10 con correzione ottica
vos: 8-9/10 con correzione ottica
too: 15 mmhg
boo: nella norma
fod: sospetto distacco sieroso maculare
fos: nei limiti di norma

Effettuato OCT (vedi allegato): nell'occhio sinistro si evidenzia un distacco sieroso maculare
Effettuata fluorangiografia (vedi allegato): nell'occhio sinistro si evidenzia una membrana neovascolare sottoretinica maculare

Effettuata terapia con iniezioni intravitreali di farmaci anti-VEGF, la neovascolarizzazione è totalmente regredita e la paziente vede con l'occhio sinistro 10/10 con correzione ottica.

Questo caso poteva essere di difficile interpretazione all'inizio per l'assenza di emorragie retiniche maculari che indicassero la presenza di una neovascolarizzazione e per l'evidenza all'OCT di un distacco sieroso che poteva essere anche di altra natura, la fluorangiografia ha permesso di evidenziare l'esatta causa.

Questo ci dimostra come OCT e fluorangiografia siano esami entrambi importanti e con informazioni complementari e spesso è necessario effettuarli entrambi per un corretto studio delle maculopatie.

8 Pucker maculare indicazione a controlli clinico-strumentali

Paziente di 69 anni riferito calo visivo nell'occhio destro senza metamorfopsie (immagini deformate), l'obiettività oculistica è la seguente:

vod:8/10 sf-3

vos:10/10 sf-3

too:15 mmhg

boo:diottri anteriori nei limiti di norma per l'età

fod:pucker maculare

fos:polo posteriore nei limiti di norma

Effettuato OCT (vedi allegato) viene confermato il pucker maculare nell'occhio destro In considerazione del visus elevato e dell'assenza di metamorfopsie si decide di tenere controllato il paziente con visite oculistiche e OCT.

Se verrà notato un peggioramento del quadro clinico con riduzione della vista comparsa di metamorfopsie e progressione del pucker visibile all'OCT si consiglierà l'intervento in caso contrario se la situazione resterà stabile si continuerà a tenerla controllata.

 

 

9 Distacco retina

Paziente di 45 anni presenta un distacco retinico sub totale in miope elevato in occhio ambliope, non si evidenziano rotture pre operatorie. Effettuato intervento chirurgico di vitrectomia endolaser e tamponamento con olio di silicone.

10 Intervento di chirurgia episclerale per distacco di retina

Paziente di 67 anni riferisce forte calo visivo nell'occhio destro da alcuni giorni, l'obiettività oculistica era la seguente:

 
Visus 2/50 non migliorabili con lenti
tono 11 mmhg
biomicroscopia nella norma
fundus: distacco di retina macula off (coinvolgente anche la macula) da ore 3 a ore 9 circa con duplice rottura retinica ore 6 circa
 
Effettuata chirurgia episclerale (cerchiaggio)
 
1) Peritomia congiuntivale su 360° isolamento dei muscoli retti e posizionamento dei fili di trazione) foto 1
2) Posizionamento di fibra ottica per esplorazione del fundus con sistema biom foto  2
3) Localizzazione delle rotture retiniche e criotrattamento foto 3
4) Cerchiaggio con spugna in silicone foto 4
5) Puntura evacuativa e drenaggio del fluido sottoretinici foto  5
6) Controllo indentazione delle rotture foto 6
7) Sutura congiuntivale foto 7
 
Il decorso post operatorio è stato regolare