Contatti per prenotazioni

Retina

chirurgo retina

1 Occlusione arteriosa retinica

Paziente di 71 anni riferisce forte calo visivo nell’occhio destro da tre giorni.

Posta diagnosi di occlusione arteriosa retinica viene richiesta una valutazione sistemica e viene riscontrata una placca carotidea di interesse chirurgico.

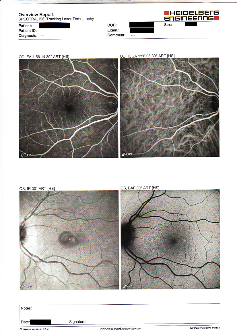
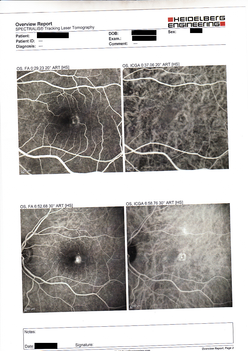
2 Teleangectasie Retiniche Iuxtafoveali Idiopatiche tipo 1B

Paziente di 55 anni riferisce "disturbi del visus" non meglio specificati nell'occhio sinistro il visus era di 9-10/10 nmcl e il quadro oftalmoscopico era suggestivo di teleangectasie, effettuati OCT e fluorangiografia (vedi esami allegati), è stata posta diagnosi di Teleangectasie Retiniche Iuxtafoveali Idiopatiche tipo 1B ed è stato programmato il follow up indicato.
A distanza di 5 anni il quadro clinico è rimasto invariato.

3 Fossetta colobomatosa

Reperto occasionale durante una visita oculistica di fossetta colobomatosa del nervo ottico (optic pit) nell’occhio destro, visus 10/10, nessuna sintomatologia. Diagnosi confermata dalla fluorangiografia.

4 Pucker maculare

Paziente di 60 anni riferito calo visivo con metamorfopsie da circa 6 mesi. Il quadro clinico riscontrato è il seguente: visus occhio destro 3-4/10 non migliorabili con lenti, visus occhio sinistro 10/10 naturali, fundus occhio destro trazione vitreo retinica maculare con sospetto foro maculare, fundus occhio sinistro nella norma. Effettuato OCT: confermato il foro maculare e la trazione vitreo retinica. Consigliato e programmato intervento chirurgico di vitrectomia.

5 Pucker maculare in miope

Paziente di 46 anni viene per calo visivo e distrorsione delle immagini nell’occhio destro da 6 mesi circa, aveva effettuato circa 15 anni fa un intervento di laser ad eccimeri per miopia e astigmatismo in entrambi gli occhi.

L’obiettività oftalmologica rilevata è la seguente:

> vod: 3-4/10 con correzione ottica
> vos: 9/10 con correzione ottica
> too: 14 mmhg
> bod: esiti di PRK, iniziale cataratta a sottocoppa posteriore
> bos: esiti di PRK
> fod: coroidosi miopica elevata con sindrome dell’interfacies vitreo retinica maculare
> fos: coroidosi miopica

Effettuato OCT maculare: si evidenzia nell’occhio destro un’importante sindrome dell’interfacies vitreo retinica con pucker maculare e sospetto foro in formazione, aumentato spessore retinico maculare e schisi. L’occhio sinistro ha un profilo maculare nella norma.

Consigliato e programmato intervento chirurgico di vitrectomia e peeling della membrana epiretinica maculare nell’occhio destro.

6 Pucker maculare

Paziente di 65 anni riferisce da alcuni mesi un calo visivo nell'occhio di sinistra con metamorfopsie (deformazioni delle immagini). Alcuni mesi fa aveva effettuato un laser trattamento di una rottura retinica periferica con decorso regolare. Inviata per approfondimenti del caso ed esame OCT. Il quadro clinico è il seguente:

  • visus occhio destro 10/10 con correzione ottica
  • visus occhio sinistro 3/10 non migliorabili con lenti
  • too (pressione oculare): 15 mmhg
  • boo (parte anteriore dell'occhio): nella norma
  • fundus occhio destro: nella norma
  • fundus occhio sinistro: pucker maculare, esiti di laser barrage periferico spots laser ben pigmentati decorso regolare retina ovunque aderente

Effettuato OCT (vedi allegato): occhio destro nella norma, occhio sinistro: si evidenzia un pucker maculare.

In considerazione del calo del visus delle metamorfopsie e della conferma dell'esistenza del pucker maculare sia all'esame del fundus sia all'OCT si consiglia intervento di vitrectomia e peeling maculare (asportazione della membrana epiretinica maculare).

7 Lucentis per membrana neovascolare sottoretinica (CNV) maculare in miope

Paziente miope di 46 anni riferisce calo visivo occhio sinistro da circa un mese, l'obiettività oculistica è la seguente:

vod:10/10 con correzione
vos:7-8/10 con correzione
too:16 mmhg
boo: nella norma
fod: miopico
fos: miopico con distacco sieroso maculare (non emorragie)

Effettuati:

OCT: confermato distacco sieroso occhio sinistro (vedi allegato)
Fluorangiografia (FAG): evidenziata membrana neovascolare (CNV) (vedi allegato)

Programmata iniezione intravitreale di Lucentis sollecita.

8 Neoformazione (tumore) oculare

Paziente di 68 anni effettua visita oculistica per lieve calo visivo occhio destro, l'obiettività oculistica riscontrata è la seguente:

vod: 9/10 con correzione ottica
vos: 10/10 con correzione ottica
too: 18
tos: 16
boo: sclerosi del cristallino
fod: neoformazione coroideale settore inferiore
fos: nei limiti di norma

Richiesta ecografia (vedi allegato): confermata la presenza di neoformazione coroideale con sospetto di neoplasia secondaria.

La paziente è stata inviata presso un centro specializzato per un opportuno inquadramento sistemico della patologia con esami, ad esempio come la TAC total body per valutare la presenza di una neoplasia primaria che abbia potuto dare metastasi all'occhio. In presenza di sospetta neoplasia secondaria dell'occhio il paziente deve essere gestito da un centro oncologico per una corretta diagnosi tesa ad identificare la neoplasia primaria e la conseguente terapia più idonea.

9 Pucker maculare e trapianto di cornea

Paziente di 54 anni ha effettuato negli anni '80 una cheratoplastica perforante bilaterale per cheratocono, attualmente non tollera più le lenti a contatto e riferisce un calo visivo bilaterale.

L'obiettività oculistica è la seguente:

voo: conta dita a 1 metro con correzione ottica, 1/10 con lente a contatto
too: 18 mmhg
boo: lembo corneale in situ con leucomi corneali diffusi irregolarità e scompenso
fod: sospetto pucker maculare
fos: nei limiti di norma

Programmato OCT (vedi allegato): si conferma l'esistenza di un pucker maculare nell'occhio destro

Si programma nell'occhio destro intervento di pucker maculare (vitrectomia + peeling maculare) e di trapianto di cornea (cheratoplastica perforante), nell'occhio sinistro intervento di trapianto di cornea (cheratoplastica perforante).

Quando in un paziente con cheratopatia bollosa post cheratoplastica perforante evidenziamo un buono stroma e un lembo regolare si consiglia una DSAEK su PK, quando il lembo si presenta irregolare con stroma alterato leucomi che alterano la visione si ripete una cheratoplastica perforante.

10 Foro maculare - ocriplasmina

Paziente di 58 anni riferisce calo visivo nell'occhio sinistro.

L'obiettività oculistica è la seguente:

vod:8/10 -6.50-1.50x180

vos:2/10 -6.50-1.75x180 (con metamorfopsie)

too:18 mmhg

boo:diottri anteriori nei limiti di norma per l'età

fod:iniziale sindrome dell'interfacies vitreo retinica

fos:foro maculare

Effettuato OCT (vedi allegato): nell'occhio sinistro si evidenzia un foro maculare con trazione vitreo retinica. Le dimensioni del foro maculare inferiore ai 400 micron e le caratteristicahe di trazione vitreo retinica suggeriscono la possibilità di utilizzare l'ocriplasmina intravitreale.

Programmata iniezione intravitreale di ocriplasmina se questa metodica non risulterà sufficiente si procederà con vitrectomia e asportazione della trazione vitreo retinica maculare.

11 Edema maculare cistoide post intervento di cataratta (sindrome di Irvine-Gass)

Paziente di 68 anni, ha effettuato intervento di cataratta 20 giorni fa con decorso regolare e ripresa visiva di 9/10.

Riferisce calo del visus da un paio di giorni e l'obiettività oculistica riscontrata è la seguente:

Visus occhio sinistro: 4/10 non migliorabile con lenti

tos:16 mmhg

bos:pseudofachia

fos:edema maculare

Effettuato OCT (vedi allegato): confermato il sospetto diagnostico di edema maculare cistoide (sindrome di Irvine e Gass) e iniziale sindrome dell'interfacies vitreo retinica

Iniziata terapia medica topica con FANS e sistemica, qualora non regredisca si effettuerà una terapia intravitreale.