Buongiorno Dr,
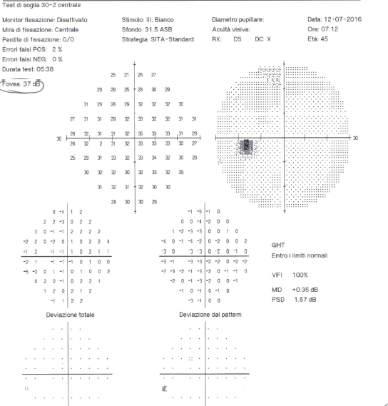
come anticipato le invio il campo visivo della sig. ra [...]


Risposta del Dottor Luca Avoni
Gentilissima,
ho visionato il suo campo visivo, per la corretta interpretazione è necessario avere anche la mia visita oculistica che contiene quadro clinico e motivazione per la quale ho richiesto l'esame.
Può inviarmi la visita oppure dopo le ferie può venire personalmente a farmelo vedere presso la mia nuova sede in via Aniene 31 a Ravenna previo appuntamento 342-3461809
Cordiali Saluti